FIBRES (or Fibers, in American spelling; from Lat. fibra, apparently connected either with filum, thread, or findere, to split), the general term for certain structural components of animal and vegetable tissue utilized in manufactures, and in respect of such uses, divided for the sake of classification into textile, paper-making, brush and miscellaneous fibres.
I. Textile Fibres are mostly products of the organic world, elaborated in their elongated form to subserve protective functions in animal life (as wool and epidermal hairs, &c.) or as structural components of vegetable tissues (flax, hemp and wood cells). It may be noted that the inorganic world provides an exception to this general statement in the fibrous mineral asbestos (q.v.), which is spun or twisted into coarse textiles. Other silicates are also transformed by artificial processes into fibrous forms, such as “glass,” which is fused and drawn or spun to a continuous fibre, and various “slags” which, in the fused state, are transformed into “slag wool.” Lastly, we note that a number of metals are drawn down to the finest dimensions, in continuous lengths, and these are woven into cloth or gauze, such metallic cloths finding valuable applications in the arts. Certain metals in the form of fine wire are woven into textile fabrics used as dress materials. Such exceptional applications are of insignificant importance, and will not be further considered in this article.
The common characteristics of the various forms of matter comprised in the widely diversified groups of textile fibres are those of the colloids. Colloidal matter is intrinsically devoid of structure, and in the mass may be regarded as homogeneous; whereas crystalline matter in its proximate forms assumes definite and specific shapes which express a complex of internal stresses. The properties of matter which condition its adaptation to structural functions, first as a constituent of a living individual, and afterwards as a textile fibre, are homogeneous continuity of substance, with a high degree of interior cohesion, and associated with an irreducible minimum of elasticity or extensibility. The colloids show an infinite diversity of variations in these essential properties: certain of them, and notably cellulose (q.v.), maintain these characteristics throughout a cycle of transformations such as permit of their being brought into a soluble plastic form, in which condition they may be drawn into filaments in continuous length. The artificial silks or lustra-celluloses are produced in this way, and have already taken an established position as staple textiles. For a more detailed account of these products see Cellulose.
The animal fibres are composed of nitrogenous colloids of which the typical representatives are the albumens, fibrines and gelatines. They are of highly complex constitution and their characteristics have only been generally investigated. The vegetable fibre substances are celluloses and derivatives of celluloses, also typically colloidal bodies. The broad distinction between the two groups is chiefly evident in their relationship to alkalis. The former group are attacked, resolved and finally dissolved, under conditions of action by no means severe. The celluloses, on the other hand, and therefore the vegetable fibres, are extraordinarily resistant to the action of alkalis.
The animal fibres are relatively few in number but of great industrial importance. They occur as detached units and are of varying dimensions; sheep’s wool having lengths up to 36 in., the fleeces being shorn for textile uses at lengths of 2 to 16 in.; horse hair is used in lengths of 4 to 24 in., whereas the silks may be considered as being produced in continuous length, “reeled silks” having lengths measured in hundreds of yards, but “spun silks” are composed of silk fibres purposely broken up into short lengths.
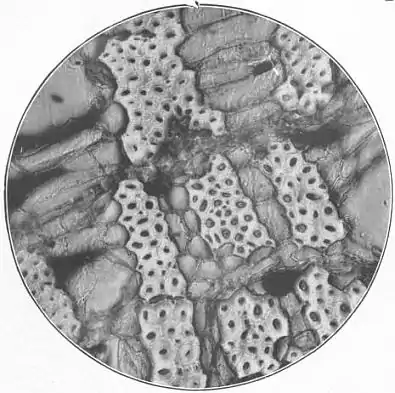
The vegetable fibres are extremely numerous and of very diversified characteristics. They are individualized units only in the case of seed hairs, of which cotton is by far the most important; with this exception they are elaborated as more or less complex aggregates. The bast tissues of dicotyledonous annuals furnish such staple materials as flax, hemp, rhea or ramie and jute. The bast occurs in a peripheral zone, external to the wood and beneath the cortex, and is mechanically separated from the stem, usually after steeping, followed by drying.
The commercial forms of these fibres are elongated filaments composed of the elementary bast cells (ultimate fibres) aggregated into bundles. The number of these as any part of the filament may vary from 3 to 20 (see figs.). In the processes of refinement preparatory to the spinning (hackling, scutching) and in the spinning process itself, the fibre-bundles are more or less subdivided, and the divisibility of the bundles is an element in the textile value of the raw material. But the value of the material is rather determined by the length of the ultimate fibres (for, although not the spinning unit, the tensile strength of the yarn is ultimately limited by the cohesion of these fibres), qualified by the important factor of uniformity.
Thus, the ultimate fibre of flax has a length of 25 to 35 mm.; jute, on the other hand, 2 to 3 mm.; and this disparity is an essential condition of the difference of values of these fibres. Rhea or ramie, to cite another typical instance, has an ultimate fibre of extraordinary length, but of equally conspicuous variability, viz. from 50 to 200 mm. The variability is a serious impediment in the preparation of the material for spinning and this defect, together with low drawing or spinning quality, limits the applications of this fibre to the lower counts or grades of yarn.
The monocotyledons yield still more complex fibre aggregates, which are the fibro-vascular bundles of leaves and stems. These complex structures as a class do not yield to the mechanical treatment by which the bast fibres are subdivided, nor is there any true spinning quality such as is conditioned by bringing the ultimate fibres into play under the drawing process, which immediately precedes the twisting into yarn. Such materials are therefore only used for the coarsest textiles, such as string or rope. An exception to be noted in passing is to be found in the pine apple (Ananassa Sativa) the fibres of which are worked into yarns and cloth of the finest quality. The more important fibres of this class are manila, sisal, phormium. A heterogeneous mass of still more complex fibre aggregates, in many cases the entire stem (cereal straws, esparto), in addition to being used in plaited form, e.g. in hats, chairs, mats, constitute the staple raw material for paper manufacturers, requiring a severe chemical treatment for the separation of the ultimate fibres.
In this class we must include the woods which furnish wood pulps of various classes and grades. Chemical processes of two types, (a) acid and (b) alkaline, are also employed in resolving the wood, and the resolution not only effects a complete isolation of the wood cells, but, by attacking the hydrolysable constituents of the wood substance (lignocellulose), the cells are obtained in the form of cellulose. These cellulose pulps are known in commerce as “sulphite pulps” and “soda pulps” respectively. In addition to these raw materials or “half stuffs” the paper-maker employs the rejecta of the vegetable and textile industries, scutching, spinning and cloth wastes of all kinds, which are treated by chemical (boiling) and mechanical means (beating) to separate the ultimate fibres and reduce them to the suitable dimensions (0.5-2.0 mm.). These papermaking fibres have also to be reckoned with as textile raw materials, in view of a new and growing industry in “pulp yarns” (Papierstoffgarn), a coarse textile obtained by treating paper as delivered in narrow strips from the paper machine; the strips are reeled, dried to retain 30-40% moisture, and in this condition subjected to the twisting operation, which confers the cylindrical form and adds considerably to the strength of the fibrous strip. The following are the essential characteristics of the economically important fibres.
Animal.—A. Silk. (a) The true silks are produced by the Bombyx Mori, the worm feeding on the leaves of the mulberry. The fibre is extruded as a viscous liquid from the glands of the worm, and solidifies to a cylindrical thread. The cohesion of these threads in pairs gives to raw silk the form of a dual cylinder (Plate I. fig. 2). For textile purposes the thread is reeled from the cocoon, and several units, five and upwards, are brought together and suitably twisted. (b) The “Wild” silks are produced by a large variety of insects, of which the most important are the various species of Antherea, which yield the Tussore silks. These silks differ in form and composition from the true silks. While they consist of a “dual” thread, each unit of these is complex, being made up of a number of fibrillae. This unit thread is quadrangular in section, and of larger diameter than the true silk, the mean breadth being 0.052 mm., as compared with 0.018, the mean diameter of the true silks. The variations in structure as well as in dimensions are, however, very considerable.
B. Epidermal hairs. Of these (a) wool, the epidermal protective covering of sheep, is the most important. The varying species of the animal produce wools of characteristic qualities, varying considerably in fineness, in length of staple, in composition and in spinning quality. Hence the classing of the fleeces or raw wool followed by the elaborate processes of selection, i.e. “sorting” and preparation, which precede the actual spinning or twisting of the yarn. These consist in entirely freeing the fibres and sorting them mechanically (combing, &c.), thereafter forming them into continuous lengths of parallelized units. This is followed by the spinning process which consists in a simultaneous drawing and twisting, and a continuous production of the yarn with the structural characteristics of worsted yarns. The shorter staple—from 5 to 25% of average fleeces—is prepared by the “carding” process for the spinning operation, in which drawing and twisting are simultaneous, the length spun being then wound up, and the process being consequently intermittent. This section of the industry is known as “woollen spinning” in contrast to the former or “worsted spinning.”
(b) An important group of raw material closely allied to the wools are the epidermal hairs of the Angora goat (mohair), the llama, alpaca. Owing to their form and the nature of the substance of which they are composed, they possess more lustre than the wools. They present structural differences from sheep wools which influence the processes by which they are prepared or spun, and the character of the yarns; but the differences are only of subordinate moment.
![]() |
![]() |
| Fig. 1.—RAW SILK. Bombyx mori. Filament of bave, viewed in length. × 110. |
Fig. 2.—RAW SILK. Bombyx mori. Single fibres in transverse section showing each fibre or “bave” as dual cylinder. × 235. |
![]() |
![]() |
| Fig. 3.—ARTIFICIAL “SILK.” Lustra-cellulose viscose process, single fibres in transverse section × 235. Normal type—polygon of 5 sides—with concave sides due to contact of the component units of textile filament. |
Fig. 4.—WOOL FIBRES. Australian merino viewed in length, × 235. Surface imbrications—the structural cause of true felting properties. |
![]() |
![]() |
| Fig. 5.—FLAX STEM. Linum usitatissimum, tranverse section of stem, × 235, showing bast fibres occupying central zone. |
Fig. 6.—RAMIE. Section of bast region, × 235. Showing bast fibres bundles but only slightly occurring as individuals. |
![]() |
![]() |
| Fig. 7.—JUTE. Bast bundles. Section of bast region, × 235, showing agglomerated bundles of bast fibre, each bundle representing a spinning unit or filament. |
Fig. 8.—MAIZE STEM. Zea mais. Fibro-vascular bundle in section. × 110, typical of monocotyledonous structure. |
![]() |
![]() |
| Fig. 9.—COTTON. FLAX. RAMIE. JUTE. Ultimate fibres in the length, × 110. Portions selected to show typical structural characteristics. |
Fig. 10.—COTTON. FLAX. RAMIE. JUTE. Ultimate fibres—transverse section, × 110. Note similarity of ramie to cotton and jute to flax. |
![]() |
![]() |
| Fig. 11.—ESPARTO. Cellulose. Ultimate fibres of paper making pulp. Typical fusiform bast fibres. × 65. |
Fig. 12.—SECTION OF HAND-MADE PAPER. × 110. Ultimate component fibres disposed in every plane. |
and rabbit, are also employed; the latter is largely worked into the class of fabrics known as felts. In these the hairs are compacted together by taking advantage of the peculiarity of structure which causes the imbrications of the surface.
(d) Horse hair is employed in its natural form as an individual filament or monofil.[1]
Vegetable Fibres.—The subjoined scheme of classification sets out the morphological structural characteristics of the vegetable fibres:—
| Produced from | |
| Dicotyledons. | Monocotyledons. |
| A. Seed hairs. | D. Fibro-vascular bundles. |
| B. Bast fibres. | E. Entire leaves and stems. |
| C. Bast aggregates. | |
In the list of the more important fibrous raw materials subjoined, the capital letter immediately following the name refers the individual to its position in this classification. In reference to the important question of chemical composition and the actual nature of the fibre substance, it may be premised that the vegetable fibres are composed of cellulose, an important representative of the group of carbohydrates, of which the cotton fibre substance is the chemical prototype, mixed and combined with various derivatives belonging to the subgroups. (a) Carbohydrates. (b) Unsaturated compounds of benzenoid and furfuroid constitutions. (c) “Fat and wax” derivatives, i.e. groups belonging to the fatty series, and of higher molecular dimensions—of such compound celluloses the following are the prototypes:—
(a) Cellulose combined and mixed with “pectic” bodies (i.e. pecto-celluloses), flax, rhea.
(b) Cellulose combined with unsaturated groups or ligno-celluloses, jute and the woods.
(c) Cellulose combined and mixed with higher fatty acids, alcohols, ethers, cuto-celluloses, protective epidermal covering of leaves.
The letters a, b, c in the table below and following the capitals, which have reference to the structural basis of classification, indicate the main characteristics of the fibre substances. (See also Cellulose.)
| Botanical Identity. Genus and Order. | Country of Origin. | Dimensions of Ultimate. | Textile Uses. | |
| Cotton, A.a | Gossypium | Tropical and subtropical | 12-40 mm. 0.019–0.025. | Universal. Also as a raw material |
| Malvaceae | countries | Av. 28 mm. | in chemical industries, notably | |
| explosives, celluloid. | ||||
| Flax, B.a | Linum | Temperate (and subtropical) | 6.60 mm. 0.011–0.025. | General. Special effects in lustre |
| Linaceae | countries, chiefly European | Av. 28 mm. | damasks. In India and America | |
| plants grown for seed (linseed). | ||||
| Hemp, B.a | Cannabis | Temperate countries, chiefly | 5-55 mm. 0.016–0.050. | Coarser textiles, sail-cloth, |
| Cannabineae | Europe | Av. 22. mm. Av. 0.022 | rope and twine. | |
| Ramie, B.a | Boehmeria | Tropical countries (some | 60-200 mm. 0.03–0.08. | Coarse textiles. Cost of preparation |
| Urticaceae | temperate) | Av. 120 mm. Av. 0.050 | for fine textiles prohibitive. | |
| Jute, B.b | Corchorus | Tropical countries, chiefly | 1.5-5 mm. 0.020–0.025. | Coarse textiles, chiefly “Hessians” |
| Tiliaceae | India | Av. 2.5 mm. Av. 0.022 | and sacking. “Line” spun yarns | |
| used in cretonne and furniture | ||||
| textiles. | ||||
| B.b | Crotalaria | India | 4.0-12.0. 0.025–0.050. | Twine and rope. Coarse textiles. |
| Leguminosae | Av. 7.5. Av. 0.022 | |||
| Hibiscus, B.b | Hibiscus | Tropical, chiefly India | 2-6 mm. 0.014–0.033. | Coarse textiles. H. Elams has been |
| Av. 4 mm. Av. 0.021 | extensively used in making mats. | |||
| Sida, B.b | Sida | Tropical and subtropical | 1.5-4 mm. 0.013–0.02. | Coarse textiles. Appears capable of |
| Malvaceae | Av. 2 mm. Av. 0.015 | substituting jute. | ||
| Lime or Linden, | Tilia | European countries, chiefly | 1.5 mm. 0.014–0.020. | Matting and binder twine. |
| C.b | Tiliaceae | Russia | Av. 2 mm. Av. 0.016 | |
| Mulberry, C | Broussonetia | Far East | 5-31 mm. 0.02–0.04. | Paper and paper cloths. |
| Moraceae | Av. 15 mm. Av. 0.03 | |||
| Monocotyledons— | ||||
| Manila, D | Musa | Tropical countries, chiefly | 3-12 mm. 0.016–0.032. | Twine and ropes. Produces papers |
| Musaceae | Philippine Islands | Av. 6 mm. Av. 0.024 | of special quality. | |
| Sisal, D | Agave | Tropical countries, chiefly | 1.5-4 mm. 0.020–0.032. | Twine and ropes. |
| Amaryllideae | Central America | Av. 2.5. Av. 0.024 | ||
| Yucca | do. | 0.5-6 mm. 0.01–0.02. | do. | |
| Liliaceae | ||||
| Sansevieria | East Indies, Ceylon, East | 1.5-6 mm. 0.015–0.026. | do. | |
| Liliaceae | Africa | Av. 3 mm. Av. 0.020 | ||
| Phormium, D | Phormium tenax | New Zealand | 5.0-15 mm. 0.010–0.020. | Twine and ropes. Distinguished by |
| Liliaceae | Av. 9 mm. Av. 0.016 | high yield of fibre from green | ||
| leaf. | ||||
| Pine-apple, D | Ananassa | Tropical East and West | 3.0-9.0 mm. 0.004–0.008. | Textiles of remarkable fineness. |
| Bromeliaceae | Indies | Av. 5. Av. 0.006 | Exceptional fineness of ultimate | |
| fibre. |
Miscellaneous.—Various species of the family Palmaceae yield fibrous products of value, of which mention must be made of the following. Raffia, epidermal strips of the leaves of Raphia ruffia (Madagascar), R. taedigera (Japan), largely employed as binder twine in horticulture, replacing the “bast” (linden) formerly employed. Coir, the fibrous envelope of the fruit of the Cocos nucifera, extensively used for matting and other coarse textiles. Carludovica palmata (Central America) yields the raw material for Panama hats, the Corypha australis (Australia) yields a similar product. The leaves of the date palm, Phoenix dactylifera, are employed locally in making baskets and mats, and the fibro-vascular bundles are isolated for working up into coarse twine and rope; similarly, the leaves of the Elaeis guineensis, the fruit of which yields the “palm oil” of commerce, yield a fibre which finds employment locally (Africa) for special purposes. Chamaerops humilis, the dwarf palm, yields the well-known “Crin d’Afrique.” Locally (Algiers) it is twisted into ropes, but its more general use, in Europe, is in upholstery as a stuffing material. The cereal straws are used in the form of plait in the making of hats and mats. Esparto grass is also used in the making of coarse mats.
The processes by which the fibres are transformed into textile fabrics are in the main determined by their structural features. The following are the distinctive types of treatment.
A. The fibre is in virtually continuous lengths. The textile yarn is produced by assembling together the unit threads, which are wound together and suitably twisted (silk; artificial silk).
B. The fibres in the form of units of variable short dimensions are treated by more or less elaborate processes of scutching, hackling, combing, with the aim of producing a mass of free parallelized units of uniform dimensions; these are then laid together and drawn into continuous bands of sliver and roving, which are finally drawn and twisted into yarns. In this group are comprised the larger number of textile products, such as cotton, wool, flax and jute, and it also includes at the other extreme the production of coarse textiles, such as twine and rope.
C. The fibres of still shorter dimensions are treated in various ways for the production of a fabric in continuous length.
The distinction of type of manufacturing processes in which the relatively short fibres are utilized, either as disintegrated units or comminuted long fibres, follows the lines of division into long and short fibres; the long fibres are worked into yarns by various processes, whereas the shorter fibres are agglomerated by both dry and wet processes to felted tissues or felts. It is obvious, however, that these distinctions do not constitute rigid dividing lines. Thus the principles involved in felting are also applied in the manipulation of long fibre fabrics. For instance, woollen goods are closed or shrunk by milling, the web being subjected to a beating or hammering treatment in an apparatus known as “the Stocks,” or is continuously run through squeezing rollers, in weak alkaline liquids. Flax goods are “closed” by the process of beetling, a long-continued process of hammering, under which the ultimate fibres are more or less subdivided, and at the same time welded or incorporated together. As already indicated, paper, which is a web composed of units of short dimensions produced by deposition from suspension in water and agglomerated by the interlacing of the component fibres in all planes within the mass, is a species of textile. Further, whereas the silks are mostly worked up in the extreme lengths of the cocoon, there are various systems of spinning silk wastes of variable short lengths, which are similar to those required for spinning the fibres which occur naturally in the shorter lengths.
The fibres thus enumerated as commercially and industrially important have established themselves as the result of a struggle for survival, and each embodies typical features of utility. There are innumerable vegetable fibres, many of which are utilized in the locality or region of their production, but are not available for the highly specialized applications of modern competitive industry to qualify for which a very complex range of requirements has to be met. These include primarily the factors of production and transport summed up in cost of production, together with the question of regularity of supply; structural characteristics, form and dimensions, including uniformity of ultimate unit and adaptability to standard methods of preparing and spinning, together with tenacity and elasticity, lustre. Lastly, composition, which determines the degree of resistance to chemical disintegrating influences as well as subsidiary questions of colour and relationship to colouring matters. The quest for new fibres, as well as modified methods of production of those already known, require critical investigation from the point of view of established practice. The present perspective outline of the group will be found to contain the elements of a grammar of the subject. But those who wish to pursue the matter will require to amplify this outlined picture by a study of the special treatises which deal with general principles, as well as the separate articles on the various fibres.
Analysis and Identification.—For the analysis of textile fabrics and the identification of component fibre, a special treatise must be consulted. The following general facts are to be noted as of importance.
All animal fibres are effectively dissolved by 10% solution of caustic potash or soda. The fabric or material is boiled in this solution for 10 minutes and exhaustively washed. Any residue will be vegetable or cellulose fibre. It must not be forgotten that the chemical properties of the fibre substances are modified more or less by association in combination with colouring matters and mordants. These may, in many cases, be removed by treatments which do not seriously modify the fibre substances.
Wool is distinguished from silk by its relative resistance to the action of sulphuric acid. The cold concentrated acid rapidly dissolves silk as well as the vegetable fibres. The attack on wool is slow, and the epidermal scales of wool make their appearance. The true silks are distinguished from the wild silks by the action of concentrated hydrochloric acid in the cold, which reagent dissolves the former, but has only a slight effect on Tussore silk. After preliminary resolution by these group reagents, the fabric is subjected to microscopical analysis for the final identification of its component fibres (see H. Schlichter, Journal Soc. Chem. Ind., 1890, p. 241).
A scheme for the commercial analysis or assay of vegetable fibres, originally proposed by the author,[2] and now generally adopted, includes the following operations:—
1. Determination of moisture.
2. Determination of ash left after complete ignition.
3. Hydrolysis:
(a) loss of weight after boiling the raw fibre with a 1% caustic soda solution for five minutes;
(b) loss after boiling for one hour.
4. Determination of cellulose: the white residue after
(a) boiling for five minutes with 1% caustic soda,
(b) exposure to chlorine gas for one hour,
(c) boiling with basic sodium sulphite solution.
5. Mercerizing: the loss of weight after digestion with a 20% solution of sodium hydrate for one hour in the cold.
6. Nitration: the weight of the product obtained after digestion with a mixture of equal volumes of sulphuric and nitric acids for one hour in the cold.
7. Acid purification: treatment of the raw fibre with 20% acetic acid for one minute, the product being washed with water and alcohol, and then dried.
8. Determination of the total carbon by combustion.
II. Papermaking.—The papermaking industry (see Paper) employs as raw materials a large proportion of the vegetable fibre products already enumerated, and, for the reasons incidentally mentioned, they may be, and are, employed in a large variety of forms: in fact any fibrous material containing over 30% “cellulose” and yielding ultimate fibres of a length exceeding 1 mm. can be used in this industry. Most important staples are cotton and flax; these are known to the paper-maker as “rag” fibres, rags, i.e. cuttings of textile fabrics, new and old, being their main source of supply. These are used for writing and drawing papers. In the class of “printings” two of the most important staples are wood pulp, prepared by chemical treatment from both pine and foliage woods, and in England esparto cellulose, the cellulose obtained from esparto grass by alkali treatment; the cereal straws are also used and are resolved into cellulose by alkaline boiling followed by bleaching. In the class of “wrappings” and miscellaneous papers a large number of other materials find use, such as various residues of manufacturing and preparing processes, scutching wastes, ends of rovings and yarns, flax, hemp and manila rope waste, adansonia bast, and jute wastes, raw (cuttings) and manufactured (bagging). Other materials have been experimentally tried, and would no doubt come into use on their papermaking merits, but as a matter of fact the actually suitable raw materials are comprised in the list above enumerated, and are limited in number, through the influence of a number of factors of value or utility.
III. Brush Fibres, &c.—In addition to the textile industries there are manufactures which utilize fibres of both animal and vegetable character. The most important of these is brush-making. The familiar brushes of everyday use are extremely diversified in form and texture. The supplies of animal fibres are mainly drawn from the badger, hog, bear, sable, squirrel and horse. These fibres and bristles cover a large range of effects. Brushes required for cleansing purposes are composed of fibres of a more or less hard and resilient character, such as horse hairs, and other tail hairs and bristles. For painting work brushes of soft quality are employed, graduating for fine work into the extreme softness of the “camel hair” pencil. Of vegetable fibres the following are used in this industry. The Caryota urens furnishes the Kittul fibre, obtained from the base of the leaf stalks. Piassava is obtained from the Attalea funifera, also from the Leopoldina piassaba (Brazil). Palmyra fibre is obtained from the Borassus flabellifer. These are all members of the natural order of the Palmaceae. Mexican fibre, or Istle, is obtained from the agave. The fibre known as Whisk, largely used for dusting brushes, is obtained from various species of the Gramineae; the “Mexican Whisk” from Epicampeas macroura; and “Italian Whisk” from Andropogon. The coir fibre mentioned above in connexion with coarse textiles is also extensively used in brush-making. Aloe and Agave fibres in their softer forms are also used for plasterers’s brushes. Many of the whitewashes and cleansing solutions used in house decoration are alkaline in character, and for such uses advantage is taken of the specially resistant character of the cellulose group of materials.
Stuffing and Upholstery.—Another important use for fibrous materials is for filling or stuffing in connexion with the seats and cushions in upholstery. In the large range of effects required, a corresponding number and variety of products find employment. One of the most important is the floss or seed-hair of the Eriodendron anfractuosum, known as Kapok, the use of which in Europe was created by the Dutch merchants who drew their supplies from Java. The fibre is soft, silky and elastic, and maintains its elasticity in use. Many fibres when used in the mass show, on the other hand, a tendency to become matted and compressed in use, and to restore them to their original state the fibre requires to be removed and subjected to a teasing or carding process. This defect limits the use of other “flosses” or seed hairs in competition with Kapok. Horse hair is extensively used in this industry, as are also wool flocks and other short animal hairs and wastes.
Hats and Matting.—For these manufactures a large range of the fibrous products above described are employed, chiefly in their natural or raw state.
Bibliography.—The list of works appended comprises only a small fraction of the standard literature of the subject, but they are sufficiently representative to enable the specialist, by referring to them, to cover the subject-matter. F. H. Bowman, The Structure of the Wood Fibre (1885), The Structure of Cotton Fibre (1882); Cross, Bevan and King, Indian Fibres and Fibrous Substances (London, 1887); C. F. Cross, Report on Miscellaneous Fibres, Colonial Indian Exhibition, 1886 (London, 1887); Cross and Bevan, Cellulose, Researches on Cellulose, i. and ii. (London, 1895–1905); C. R. Dodge, A Descriptive Catalogue of Useful Fibre Plants of the World (Report No. 9, U.S. Dept. of Agriculture, Washington, 1897); von Höhmel, Die Mikroskopie der technisch verwendeten Faserstoffe (Leipzig, 1905); J. J. Hummel, The Dyeing of Textile Fabrics (London, 1885); J. M. Matthews, The Textile Fibres, their Physical, Microscopical and Chemical Properties (New York, 1904); H. Müller, Die Pflanzenfaser (Braunschweig, 1877); H. Schlichter, “The Examination of Textile Fibres and Fabrics” (Jour. Soc. Chem. Ind., 1890, 241); M. Vetillart, Études sur les fibres végétales textiles (Paris, 1876); Sir T. H. Wardle, Silk and Wild Silks, original memoirs in connexion with Col. Ind. Ex., 1886, Jubilee Ex. Manchester, 1887; Sir G. Watt, Dictionary of Economic Products of India (London, 1891); Wiesner, Die Rohstoffe des Pflanzenreichs (Leipzig, 1873); O. N. Witt, Chemische Technologie der Gespinnstfasern (Braunschweig, 1888); Kew Bulletin; The Journal of the Imperial Institute; The Journal of the Society of Arts; W. I. Hannam, The Textile Fibres of Commerce (London, 1902); J. Jackson, Commercial Botany; J. Zipser, Die Textilen Rohmaterialien (Wien, 1895); F. Zetzsche, Die wichtigsten Faserstoffe der europäischen Industrie (Leipzig, 1895). (C. F. C.)
- ↑ See also Alpaca, Felt, Mohair, Shoddy and Wool.
- ↑ Col. Ind. Exhibition, 1886, Miscellaneous Reports.











